Medicina y cirugía Urológica

La Urología es una especialidad médico-quirúrgica que se ocupa del estudio, diagnóstico y tratamiento de las afecciones médicas y quirúrgicas del aparato urinario y retroperitoneo, en ambos sexos, y del aparato genital masculino, sin límite de edad, motivadas por padecimientos congénitos, traumáticos, sépticos, metabólicos, obstructivos, oncológicos etc.

Un resumen de nuestro servicio:

 

  • Endoscopia y laparoscopia urológica.
  • Urodinámica
  • Rehabilitación del suelo pélvico.
  • Incontinencia urinaria
  • Esfínteres artificiales.
  • Cirugía de la uretra (estrecheces, malformaciones, etc.),endoscópica y a cielo abierto
  • Cirugía de la Hiperplasia Benigna de Próstata (HBP) 
  • Resección Transuretral (RTU), convencional y Bipolar
  • Cirugía del riñon, ureter y vejiga, endoscópica y laparoscópica
  • Medicina y Cirugia de testiculos y cubiertas escrotales.
  • Ecografia urologica abdominal,escrotal,peneana y transrectal.
  • Punciones transrectales prostaticas ecodirigidas (biopsias de prostata)
  • Radiologia urologica.
  • Flujometria urinaria
  • Fotovaporización con LASER VERDE (Adenoma de próstata, sin sangrado y un sólo día de estancia en clínica). 
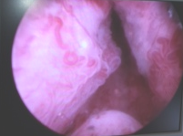
Antes de operar con láser verde.

Intervención con láser verde en próstata, el adenoma de la foto anterior ha desaparecido.

Visite además nuestra galería de imágenes para saber más sobre Urología.